Bronquiectasia

Enfermedad de curso crónico, que evoluciona a brotes caracterizada por dilatación excesiva de bronquios y bronquiolos causada por infección necrosante crónica dentro de esos conductos. Se discute si la bronquiectasia comienza como infección que causa necrosis y excavación de las vías respiratorias, o si el trastorno de la fisiología respiratoria produce dilatación excesiva, drenaje insuficiente o infección secundaria. Los defensores de la primera hipótesis opinan que la enfermedad pulmonar subyacente( asma, bronquitis, tuberculosis, tumores) o algún cuerpo extraño causan obstrucción parcial o completa de los bronquios o bronquiolos, y la estasis condiciona el terreno para la infección. Manifestaciones clínicas: tos intensa, expectoración purulenta y fétida, a veces hemoptisis como único síntoma, disnea , fiebre y toma del estado general. La asociación de bronquiectasia, sinusitis y situs inversus se conoce como tríada o síndrome de Kartagener. También la bronquiectasia se asocia a fibrosis quística del páncreas( mucoviscidosis).

Una radiografía negativa no excluye la bronquiectasia. El diagnóstico actualmente se realiza por Tomografía Axial Computadorizada o Broncografía. Podemos apreciar acentuación de la trama sobre todo hacia en regiones hiliobasales. Imágenes lineales y tubulares, expresión de engrosamiento de los cordones vasculares y bronquiales, pueden definirse líneas paralelas gruesas, en relación con las paredes de un bronquio con dilatación cilíndrica o imágenes areolares y también moteado inflamatorio asociado que en los casos graves llega a la consolidación y pueden acompañarse de toma pleural.

 

 Click Imagen Ampliada

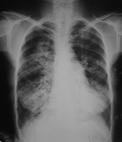
  Fig.15a. 48 años. APP:  fumadora inveterada, asmática grado III, bronquiectasia. MC: fiebre 39oC, tos húmeda, expectoración blanquecina. EF: crepitantes en ambos campos, predominantes en bases. RX: Extensas lesiones inflamatorias en ambos campos asociadas a imágenes sugestivas de bronquiectasia. Aumento del diámetro vertical del tórax, descenso del diafragma. Convexidad del arco medio.

Click Imagen Ampliada

Fig.15b. RX evolutiva . Escasa mejoría. Se realiza ecocardiograma apreciándose aumento del diámetro de la arteria pulmonar y del VD con desplazamiento del SIV hacia la izquierda. Bronquiectasias infectadas.

 

Click Imagen Ampliada

  Fig. 57. Fem. 29 años. APP: asma bronquial. MC: dolor torácico. Fiebre alta .Tos. Expectoración amarillenta. EF: MV normal. Roncos en ambos campos.  Numerosas y extensas bronquiectasias en ambas regiones perihiliares y bases con componente inflamatorio asociado. Arco medio prominente.   Click Imagen Ampliada Fig. 54. 52 años. APP: TB hace 15 años. Asmática, fumadora inveterada. Extensas dilataciones bronquiales en regiones perihiliares y bases. Engrosamiento de las paredes bronquiales. Consolidación inflamatoria en base derecha. Signos de enfisema pulmonar.

 

Click Imagen Ampliada   Fig. 55a. Femenina. 69 años. APP: Neumópata crónica. MC: hemoptisis y disnea. Se auscultan crepitantes en ambos campos pulmonares. Fibroenfisema pulmonar con extensas y numerosas dilataciones bronquiales. Componente inflamatorio asociado y derrame pleural bilateral.

Click Imagen Ampliada

  Fig 55b. RX evolutiva a la semana. Han empeorado las lesiones. Fallece a las 48 horas.

 

    Click Imagen Ampliada Fig. 58. Masculino. 62 años. Fumador inveterado. MC: trauma torácico izquierdo. Extensas lesiones fibroareolares en ambos campos pulmonares. Trama reticulonodulillar. Imágenes sugestivas de dilataciones bronquiales. No se descarta componente inflamatorio asociado en bases.