Es el espacio que se encuentra entre la 
pleura derecha y la izquierda, en y cerca del plano medio sagital del tórax. Se 
extiende desde la cara posterior del esternón hasta la superficie anterior de la 
columna dorsal y contiene todas las vísceras torácicas excepto los pulmones. Se 
divide en cuatro partes: superior, anterior, media y posterior
(clasificación
basada en el Paul and Juhl).
 
  
  
    | 
       MEDIASTINO  | 
  
  
    |   | 
    
    SUPERIOR | 
    
    ANTERIOR | 
    
    MEDIO | 
    
    POSTERIOR | 
  
  
    | 
       SITUACIÓN  | 
    
        ENTRE EL MANUBRIO ESTERNAL
      Y LAS CUATRO PRIMERAS VÉRTEBRAS DORSALES  | 
    
                                                                                                                   POR ARRIBA: MEDIASTINO SUPERIOR. A
      AMBOS LADOS LA PLEURA. POR DELANTE:  EL ESTERNÓN.  EN SU PARTE
      POSTERIOR EL PERICARDIO 
          | 
    
       POR DELANTE EL MEDIASTINO
      ANTERIOR Y POR DETRÁS EL POSTERIOR 
     | 
    
       POR DETRÁS DEL CORAZÓN
      Y EL PERICARDIO, SE EXTIENDE DESDE D4 A D12 
     | 
  
  
    | 
    CONTENIDO | 
    
       ARCO AÓRTICO Y SUS RAMAS
      
       VENAS INNOMINADAS 
      MITAD SUPERIOR DE LA VENA CAVA
      SUPERIOR 
      TRÁQUEA 
      ESÓFAGO 
      CONDUCTO TORÁCICO 
      TIMO 
      GANGLIOS LINFÁTICOS 
      VARIOS NERVIOS  | 
    TEJIDO
      CELULAR LAXO 
       GANGLIOS LINFÁTICOS 
      VASOS LINFÁTICOS  | 
    
    CORAZÓN Y
      PERICARDIO | 
    
    PORCIÓN
      TORÁCICA DE LA AORTA DESCENDENTE | 
  
  
    | 
    AORTA
      ASCENDENTE | 
  
  
    | 
    ESÓFAGO | 
  
  
    | 
    MITAD
      INFERIOR DE LA VENA CAVA SUPERIOR | 
  
  
    | 
    CONDUCTO
      TORÁCICO | 
  
  
    | 
    VENA
      ÁCIGOS | 
  
  
    | 
    ÁCIGOS
      Y HEMIÁCIGOS | 
  
  
    | 
    BIFURCACIÓN
      DE LA TRÁQUEA Y BRONQUIOS PRINCIPALES | 
  
  
    | 
    GANGLIOS
      LINFÁTICOS | 
  
  
    | 
    ARTERIA
      PULMONAR Y SUS RAMAS | 
  
  
    | 
    ALGUNOS
      NERVIOS | 
  
  
    | 
    GANGLIOS
      LINFÁTICOS PERIBRONQUIALES | 
  
  
 
 
 
  
    | 
     
    
       | 
    .  | 
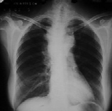
    Fig.  36 años. APP: asmático,
alcohólico; tratamiento con Disulfiram. Ingirió bebidas alohólicas en
la mañana y refiere dolor retroesternal de instalación súbita que se exacerba
con el decúbito, disfonía y sensación de inflamación en el cuello. Afebril.
No disnea. EF: MV conservado, no estertores. ID: mediastinitis. Banda transparente paralela a la 
    SCV, con
otra banda, densa y fina (el pericardio) por fuera, por  neumomediastino. | 
      | 
    
       
      
      
     | 
    Fig. RX lateral 
    izquierda del paciente anterior.  Se
observa banda transparente retroesternal.  | 
  
 
  
    
    
    
      
        | 
    
    
     | 
    
    
      
        | 
  
  
    | 
    Fig.11.
      28 años. APP:  parto  hace 4 meses. MC: dolor torácico izquierdo. Síndrome febril
desde hace 9 días.Tratamiento con Penicilina. Leuco. 25x 109, Poli 85.
      US:
Gran tumoración ecogénica, heterogénea con derrame pericárdico acompañante.
Tórax: Opacidad densa y homogénea, de contornos 
regulares y bien definidos que ensancha marcadamente el 
mediastino  
    en el lado izquierdo en relación con gran tumoración. 
    No se observan calcificaciones en su interior. Marcador sobre el vértice 
    derecho. No se aprecia lesión ósea. | 
      | 
    
    Fig.
      12. Proyección  
lateral izquierda  
    del caso anterior. Se observa la tumoración a nivel del 
mediastino medio y anterior. Contorno posterior nítido, redondeado y regular,
desaparece el espacio claro pre-esternal. | 
  
 
  
    
    
    
      | 
      | 
    Fig.
    62a. 54
      años. APP: Fumadora inveterada.  HTA. MC: inflamación del cuello. EF:
      aumento de volumen del cuello de consistencia pétrea. Adenomegalias
      supraclaviculares, submaxilares y axilares bilaterales. Circulación
      colateral. RX: Ensanchamiento bilateral del mediastino superior. | 
    
    
    
      | 
      | 
    Fig.
    62b. RX penetrada. Se define mejor la tráquea comprimida y desplazada hacia la izquierda. Doble
      contorno mediastinal bilateral. | 
  
 
  
    |   | 
      | 
  
  
    
    
    
      | 
     | 
    Fig. 62c. Esofagograma.
      Ligera compresión del 1/3 superior del esófago y opacidad
      tumoral anterior y media. ID linfoma V/S neoplasia del pulmón a forma mediastinal. | 
    
     
    
       | 
    Fig. 63. Masc. 71 años. 
    MC: aumento de volumen del cuello, indoloro. EF: tumoración
      en región anterior del cuello, consistencia firme. US aumento de volumen
      del tiroides, textura heterogénea. Doppler: vascularización
      aumentada. Tendencia a penetrar en el tórax.
      RX: ensanchamiento del contorno superior del mediastino, sobre todo a la
      derecha con desplazamiento de la tráquea hacia este lado. ID: Bocio
      endotorácico. |