
Los tumores malignos del pulmón pueden ser primitivos o metastásicos.
Dentro de los primitivos, se destaca
por su frecuencia el carcinoma broncogénico y se clasifica en:
a) Epidermoide o escamoso. Comprende
del 45 al 60% de los tumores broncogénicos. Ocurre predominantemente en el hombre,
generalmente después de los 60 años, frecuentemente invade la pared torácica y
suele presentar necrosis con formación de una cavidad. Metástasis hematógenas
tardías.
b) Adenocarcinoma. A este tipo se
rescribe el 15% y es el más común de los tumores broncogénicos hallados en la
mujer. Tiende a ser más periférico que los otros tipos pero puede ser central.
Crece rápidamente y da metástasis tempranamente por vía hemática y linfática.
c) Carcinoma neuroendocrino. El 30%
aproximadamente de los carcinomas se deben a éste. Puede presentarse en forma de
ensanchamiento mediastinal, tumor con atelectasia y derrame o en formas
parahiliar o paramediastinal.
Sarcomas. Masa periférica grande.
Carcinosarcoma( tumor mixto
epitelial y sarcomatoso).
Neoplasias del sistema reticuloendotelial tomando el pulmón. Los linfomas toman inicialmente los
ganglios hiliares y mediastinales pero ocasionalmente puede apreciarse toma
parenquimatosa, siendo la toma más frecuente en el Hodgkin, observándose líneas
o zonas de densidad incrementada irradiándose del hilio hacia la periferia. En
la leucosis linfoide puede verse toma parenquimatosa y en ambos presentarse
derrame pleural asociado.
Metastásicas
Vía hematógena: tumores de mama, riñón,
tiroides, ovario, testículo, colon, melanoma y todos los sarcomas
incluyendo sarcoma osteogénico, condrosarcoma y sarcoma de partes blandas.
Vía linfática: estómago, mama,
páncreas, próstata, colon y pulmón.
Por contiguidad.
Formas más frecuentes de
presentación radiológica:
| Atelectasia |
Opacidad apical con o sin
lisis costal o vertebral |
Derrame pleural |
| Engrosamiento hiliar
unilateral |
"
Neumonía " de
evolución tórpida |
Imagen nodular |
| Enfisema obstructivo |
Lesión solitaria
cavitada de pared irregularmente engrosada |
Hemidiafragma elevado (toma
del nervio frénico) |
| Ensanchamiento
mediastinal |
Masa tumoral |
Imágenes nodulares
múltiples( casi siempre metastásicas) |
Varias combinaciones de los hallazgos
mencionados pueden hallarse en un paciente. Ocasionalmente no aparece ninguna de
las características mencionadas y la neoplasia no puede ser identificada radiográficamente, Otro factor adicional que puede hacer difícil el diagnóstico
es su asociación con enfermedad inflamatoria crónica. Se estima que la
tuberculosis está asociada al carcinoma broncogénico en el 10% de los casos.
|
Fig. 19a.
Masculino. 65 años.
APP: neoplasia de
recto.
Nódulo de 3cm en región parahiliar
izquierda. Signos de enfisema pulmonar( EIC ensanchados, aumento del
diámetro vertical del tórax). Lesiones fibrosas y algunas bullas
asociadas. Aorta ateromatosa, ligeramente elongada y dilatada. |
 |
|
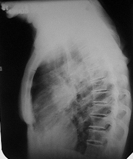
Fig. 19b.
Proyección
lateral izquierda
del caso anterior
donde se aprecia que la lesión ocupa un plano medio. Moderada artrosis. |
 |
|
Fig. 80a. 56 años. APP: fumadora inveterada. A,
A yPP de 30 lb de peso. VSG 78mm/h, Hb 8,4gr%. Engrosamiento hiliar derecho de aspecto tumoral.
Pequeña opacidad parenquimatosa por encima y por fuera. ID: neoplasia de
pulmón a forma de engrosamiento hiliar. |
 |
|
Fig.80b. RX lateral del caso anterior. Engrosamiento tumoral del hilio y opacidad
parenquimatosa superior y posterior. |
 |
|
Fig. 78a. 60
años. APP: fumador inveterado. MC: disnea. Ensanchamiento del mediastino
superior derecho. Franca elevación del hemidiafragma correspondiente. |
 |
|
Fig. 78b. RX lateral
derecha. La lesión ocupa el mediastino medio y anterior. ID: neoplasia de
pulmón a forma mediastinal. DD: linfoma. |
 |
|
Fig. 91a. 62años. APP: fumador inveterado, expectoración hemoptoica, disnea. Extensa opacidad
de contornos imprecisos que forma cuerpo con el contorno mediastinal
izquierdo, el cual se halla retraído hacia este lado. Hipoventilación pulmonar y pinzamiento
pleuro-diafragmático del mismo. |
 |
|
Fig. 91b. RX lateral
izquierda. La lesión es de localización media y anterior. Engrosamiento de
la cisura interlobar. |
|
 |
|
 |
|
 |
|
|
|
|
|
|
|
|
|
Fig. 91c. RX frontal
evolutiva. Se hace más evidente la instalación de la atelectasia. Mayor
retracción del mediastino. Elevación del hemidiafragma. |
|
Fig.91 d. Mayor distorsión
del contorno mediastinal y hemidiafragma más elevado. |
|
|
Fig. 91e. RX frontal
evolutiva. Continúa empeorando radiográficamente. Hemitórax izquierdo opaco.
Densa opacidad en masa, retracción del mediastino y elevación del hemidiafragma. |
|
 |
|
Fig. 75a. Masc. 60 años. MC: intenso dolor en la hemicadera izquierda. RX frontal de pelvis. Se
demuestra la presencia de gran lesión osteolítica del ilíaco izquierdo,
vecina acetábulo. RX de tórax: lesión cavitaria de contornos
imprecisos, parcialmente retrocardiaca. |
 |
|
Fig. 75b. RX lateral
izquierda. Cavidad de paredes irregularmente engrosadas, de localización
posterior. Neoplasia de pulmón ulcerada o cavitada con metástasis ósea. |
 |
|
Fig. 82a. 60años. APP: fumadora inveterada. MC: Dolor en el hombro izquierdo, expectoración
sanguinolenta. Masa tumoral en el vértice izquierdo. Lisis del arco
posterior de la 3ra y 4ta costillas. Tumor de Pancoast. |
 |
|
Fig. 82b. Técnica de
vértices pulmonares donde se definen mejor ambas lesiones. |
 |
|
Fig. 41. Masc. 71 años. MC:
constipación, enterorragia. A, A y PP de 20 libras. Tórax
pre-operatorio por neoplasia ano-rectal. Se aprecian metástasis en
ambos campos en " suelta de globos ", algunas impresionan cavitadas. |
 |
|
Fig.
88. Fem. 70 años. APP:
mastectomía derecha. MC: dolor torácico derecho. Derrame pleural de este lado. Radiografía
post-toracocentesis.Gran NHA en la región central del hemitórax derecho en relación con hemo-neumotórax. |
 |
|
Fig. 84a. Fem. 17
años. APP: Amputación del MII por rabdomiosarcoma del muslo
hace 10 meses. MC: disnea intensa y dolor en hemitórax izquierdo.
EF: V V abolidas, matidez y MV abolido. Opacidad densa y
homogénea, de la totalidad del hemitórax izquierdo con marcado
desplazamiento contralateral del mediastino. Nótese la claridad de la
tráquea y los bronquios principales desplazados a la derecha de la línea
media y múltiples nódulos metastásicos en campo pulmonar derecho. |
 |
|
Fig. 84b. Toracocentesis: 1300cc de líquido amarillento.
RX evolutiva: mejora el desplazamiento del mediastino, pero aún el derrame es grande, dejando sólo
libre el vértice. Llama la atención el contorno inferior de la opacidad. |
|
 |
|
Fig.84c. RX evolutiva. Sonda de
pleurotomía izquierda. Se aprecian varios nódulos metastásicos también
en la parte superior del pulmón izquierdo. Se evacuaron 1500cc nuevamente. |
|
 |
|
Fig.55. Masculino. 54
años. APP: neoplasia faríngea. MC: intenso dolor en hemitórax derecho, con irradiación al hombro. Hb 8gr%,
VSG 90mm/h. Tórax PA: Múltiples imágenes nodulares metastásicas en ambos campos pulmonares.
Toma ganglionar hiliar. Ligero
derrame pleural derecho. |
 |
|
Fig.18a.
Fem. 54 años. APP:
mastectomía derecha hace 2 años.
MC: disnea: EF: MV ligeramente disminuido. RX tórax PA
rotada. Algunos nódulos metastásicos en ambos campos
pulmonares. Llama la atención el contorno del
mediastino superior izquierdo. |
 |
|
Fig.
18b. RX a las 7 semanas.
Presenta A, A y PP de 10lb. Múltiples nódulos metastásicos en ambos campos pulmonares. Ensanchamiento del mediastino superior izquierdo por toma
ganglionar. Doble contorno. Elevación del hemidiafragma izquierdo. |