Neumotórax
   

 Síndrome pleural de interposición gaseosa.Es la presencia de gas en la cavidad pleural. Puede ser:

Espontáneo: en un individuo sano o enfermo.

Traumático: Ej. herida por arma blanca.

Iatrogénico.

Artificial: con fines diagnósticos o terapéuticos. 

Habitualmente es generalizado, pero pueden ser localizados cuando hay adherencias pleurales. Signos radiológicos: 

Zona de hipertransparencia o transparencia pulmonar aumentada entre la pared torácica y el pulmón colapsado, sin trama vascular. Cuando el colapso pulmonar es muy importante aparece desplazamiento contralateral del mediastino. Los neumotórax pequeños predominan en la parte superior de la cavidad pleural y muchas veces son difíciles de diagnosticar.  Es muy útil la radiografía en espiración en su diagnóstico. Debe estudiarse el seno costofrénico para detectar borramiento en relación con pequeño derrame seroso que ocurre en algunas ocasiones por irritación pleural.

Hidroneumotórax. Cuando el neumotórax se asocia a derrame estamos en presencia de un hidroneumotórax, si el líquido es seroso, pioneumotórax si es purulento o hemoneumotórax si es hemático. En la radiografía vertical se observa un nivel horizontal.

 

 

  Click Imagen Ampliada

  Fig. Masculino. 50 años.  APP: Fumador inveterado. MC: dolor torácico derecho intenso. Neumotórax derecho. RX: Colapso pulmonar de un 60%. Pequeño hemotórax que b0rra el seno costo-frénico derecho.

Click Imagen Ampliada  

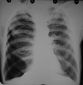
  Fig. Masculino. 22 años. APP: asmático. MC: dolor torácico izquierdo. Neumotórax izquierdo con colapso pulmonar casi total.

 

     Click Imagen Ampliada

 

 

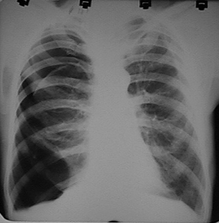
Fig.  Femenina. 70 años.  APP: mastectomía derecha. MC: dolor torácico derecho. Se diagnóstica derrame pleural. RX realizada post-toracocentesis. Gran NHA en la región central del hemitórax derecho en relación con hemo-neumotórax.